
2022年康复考试课程5人团 http://cnkf.cn/kf5r
颈椎弹响、颈肩痛这些问题已经很常见
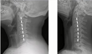
但是你知道颈椎曲度变直吗?
我们经常会在
体检报告上看到它
颈椎曲度变直对我们身体有哪些影响
可以自我矫正吗
今天我们就简单来了解一下
什么是颈椎曲度变直?

我们都知道脊柱在正常情况下,一共有4个生理弯曲,它们都有自己存在的意义与价值。其中颈曲是脊柱最上端的生理弯曲,是维持颈椎生理功能、稳定头部的基础。正常的颈椎生理曲度有一定缓冲压力的作用,在保护脊髓、神经根和血管上有着重要意义。正常的颈椎有一个向前的生理弧度,当颈曲弧度减小、消失时称为颈椎曲度变直,甚至反弓。

1、 职业因素
长期伏案作业,青年学生长时间伏案学习,舞蹈专业人员、飞行员长时间过度前曲、勾头直颈、旋颈等。
2、 疾病因素
颈椎椎间盘及椎间关节软骨发生退变、坏死、剥脱等解剖结构的变化,颈后肌群劳损,脊柱疾患等都有可能造成颈椎生理曲度异常。
长期低头或半躺着玩手机,睡觉时喜欢睡高枕等习惯都容易造成颈椎曲度变直。

颈椎曲度变直伴随肌肉、筋膜等软组织的改变,你会觉得颈肩僵硬、紧张。时间久了会造成颈肩疼痛、不适。
劲曲变直会使椎动脉受压,引起大脑供血不足,使人容易疲劳、头晕、头痛。
颈椎曲度变直和肌肉的改变还会压迫到相关神经,使肢体麻木、恶心、呕吐等。
- 颈椎曲度变直是其他各种颈椎病的结构和生理基础,会大大增加韧带增生、钙化、骨质增生、颈间盘突出等的风险。


了解详情-12节体态纠正课,让你更美更健康
动作要领:仰卧位,身体放松。将泡沫轴放在枕下。然后左右旋转头部,放松颈部肌肉。动作要领:仰卧屈膝,双手抱头。将泡沫轴放在背部,通过膝关节支撑,前后滚动背部和肩部。

了解详情-12节体态纠正课,让你更美更健康
动作要领:跪坐,臀部贴近足跟,左手撑地,右手置于后背,骨盆固定,后背保持平直吸气辅助将胸椎转向右侧,呼气回归。

了解详情-12节体态纠正课,让你更美更健康
动作要领:面墙站立,双脚分开与肩同宽,双脚离墙一个半脚掌的距离,将前臂置于墙面之上,掌心相对,缓慢屈膝下蹲,注意始终保持前臂贴紧墙面,膝盖不要超过脚尖。

了解详情-12节体态纠正课,让你更美更健康
动作要领:站立位,可以找一木棒/毛巾,将木棒置于颈后,然后缓慢向上仰头,同时左右旋转颈部,此时木棒施加向前的阻力。

了解详情-12节体态纠正课,让你更美更健康
动作要领:跪姿,双手撑地,微微向上仰头,然后左右旋转45°。每次旋转保持6-8秒。
操作要领:将圆柱形枕头垫到颈椎后侧。注意不是长时间枕,枕的过程中没有明显疼痛或不适。

动作要领:俯卧,双手置于身体两侧,上半身悬空,下颌微收,保持1分半钟。可以通过弹力带帮助判断头部稳定。进阶训练:胸椎悬空-双手置于脑后-双手前举-弹力带提供阻力。

动作要领:俯卧,微收下颌,双臂平举,拇指朝上,肩胛骨收紧,然后手臂前后匀速摆动。注意在做的过程中保证均匀的呼吸。动作要领:站姿,吸气双手平举,与肩同高,掌心朝下,呼气掌心朝上双臂尽力后推。感觉肩胛骨内侧在收缩。保持2-3秒。然后回归。

了解详情-12节体态纠正课,让你更美更健康
动作要领:用手指在锁骨下侧2指位置附近进行上下滑动按摩,然后缓慢沿胸小肌走行对整个肌肉进行横向手法松解。最后从胸骨中间向肩膀位置进行纵向松解。
动作要领:用手抓门,手的位置约与肩平,将头和胸部向前伸,注意手臂不要后退,直到感觉胸部和肩膀有拉伸感,保持5秒然后放松,重复5次。动作要领:用手抓门,屈肘90°,将头和胸部向前伸,注意手臂不要后退,直到感觉胸部和肩膀有拉伸感,保持5秒然后放松,重复5次。动作要领:用手抓门,手臂上举,将头和胸部向前伸,注意手臂不要后退,直到感觉胸部和肩膀有拉伸感,保持5秒然后放松,重复5次。

动作要领斜方肌上束拉伸:以右侧为例,右手放置于身体斜后方,向侧面倾斜上半身来降低肩部高度,左手抱住头,向左侧偏,并且头部要向右侧转动,以便能够完全拉伸到斜方肌,保持这个拉伸动作15-20秒,共2-3组。

动作要领:把手绕过头顶摸对侧耳朵后,将头缓慢往同侧侧屈至最大极限后,抬起下巴,头向同侧回旋,直到感觉颈部另一侧前方的肌肉拉长,保持30秒。

了解详情-12节体态纠正课,让你更美更健康
动作要领:找到耳后乳突位置,沿着乳突下滑快到锁骨位置,下滑区域大致就是斜角肌所在位置。对该区域进行横向的拨动,然后三指并拢,对该区域进行纵向松解。


12节体态纠正课,让你更美更健康
什么是人体正常的体态与重回正确舒坦的呼吸模式(免费)
立即学习http://cnkf.cn/8LIYp